Din acest an, pacienții cu suspiciune de cancer bronhopulmonar pot obține un diagnostic complet și de precizie în urma investigațiilor făcute în cadrul Spitalului de Boli Infecțioase Dr. Victor Babeș Timișoara.
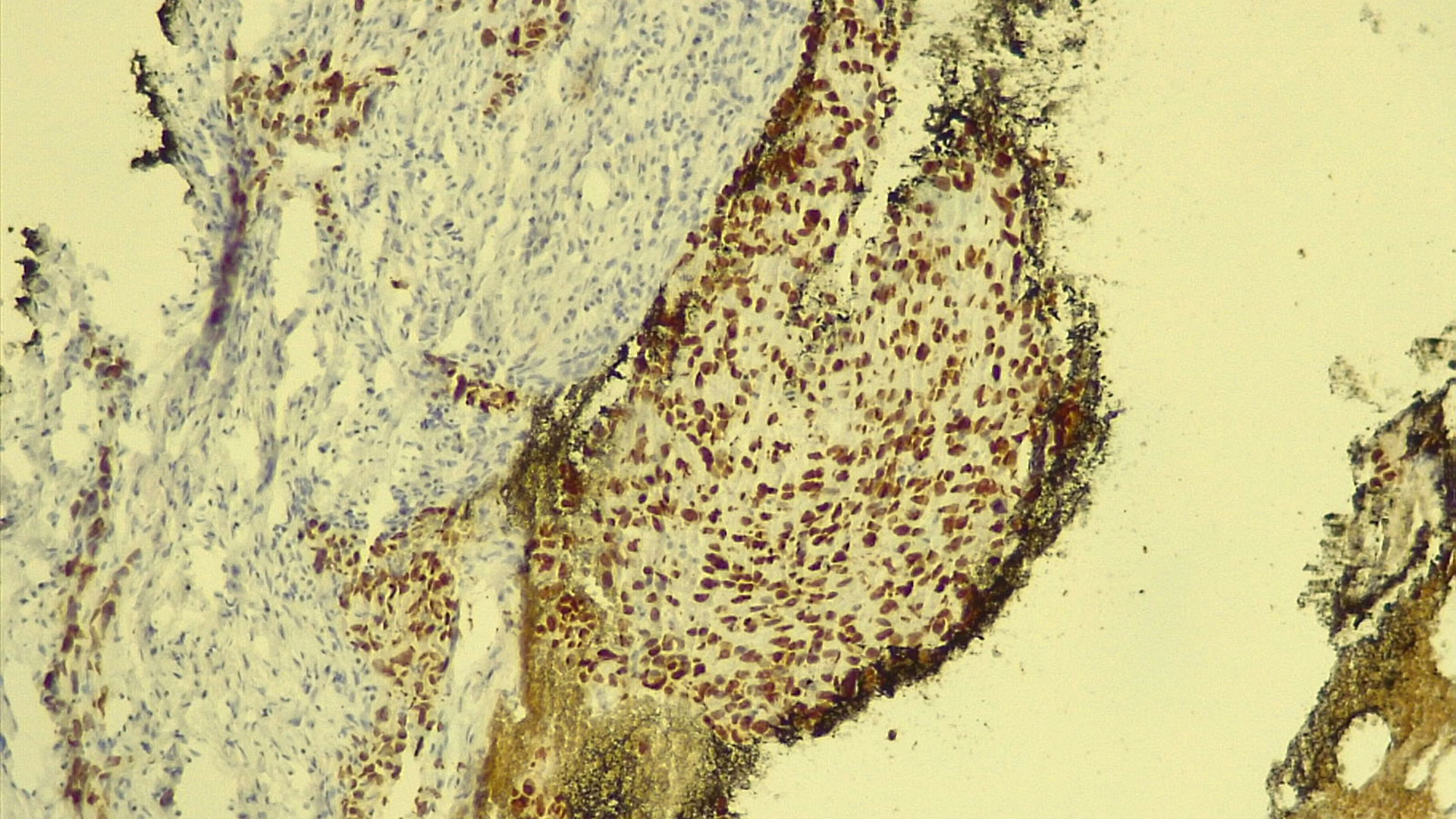
În cadrul Laboratorului de Anatomie Patologică se realizează teste de imunohistochimie (IHC) pe tumori pulmonare primare (care se dezvoltă inițial în plămân), având ca scop diferențierea tipurilor histopatologice de cancer. Metoda aplicată este una manuală și permite, în urma folosirii unor reactivi, evidențierea pe lama de microscopie a unor molecule care ajută la definitivarea diagnosticului de cancer bronhopulmonar. Mai mult, realizarea diagnosticului diferențial și specific de imunohistochimie scurtează timpul de așteptare și permite inițierea unui tratament oncologic personalizat.
“Când vorbim de imunohistochimie (IHC), vorbim de metode de diagnostic care combină tehnica histologică cu cea imunologică și cu biochimia. Practic, IHC-ul este o analiză de laborator care vine în completarea examenului histopatologic. Acesta din urmă stabilește că este vorba de o tumoră, iar imunohistochimia ne dă informații despre caracterul sau tipul formațiunii maligne. În funcție de rezultat, de tipul de tumoră, se administrează tratamentul. Este un proces de diagnosticare în mai mulți pași prin care se identifică markerii tumorali”, spune dr. Gheorghe-Emilian Olteanu – medic specialist anatomie patologică – Spitalul de Boli Infecțioase și Pneumoftiziologie Dr. Victor Babeș Timișoara.
În cazul tumorilor pulmonare, imunohistochimia duce la stabilirea cu precizie a unui diagnostic pozitiv și diferențial.
“Primul pas pentru realizarea examenului de imunohistochimie este prelevarea unui fragment de țesut tumoral, care se realizează în cadrul spitalului nostru făcând biopsie pulmonară. Bucățile de țesut extrase sunt introduse în parafină pentru conservarea lor. Din acestea tăiem secțiuni foarte fine pe care le analizăm sub microscop într-o primă faza, iar, apoi, le supunem examenului IHC. Rezultatul final este unul de precizie”, explică dr. Gheorghe-Emilian Olteanu – medic specialist anatomie patologică – Spitalul de Boli Infecțioase și Pneumoftiziologie Dr. Victor Babeș Timișoara.
Cancerul bronhopulmonar este a doua cea mai răspândită boală malignă în rândul bărbaților. Potrivit statisticilor, la fiecare 30 de secunde, în lume, o persoană este ucisă de această maladie.
Mai mult, cancerul de plămân are cea mai mică rată de supraviețuire la 5 ani, puțin peste 15%. Cele mai frecvente cauze de producere a cancerului bronhopulmonar sunt fumatul, în aproape 90 la sută dintre situații, istoricul familial, expunerea la azbest sau radon și alte elemente chimice, un istoric personal ridicat de boli pulmonare și vârsta de peste 60 de ani.







